








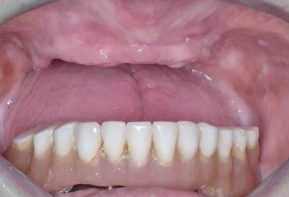
In this case presentation, the patient
suffered from a failed dentition in the maxilla and is planned to be restored with an
implant retained fixed hybrid denture. This video demonstrates the step-by-step
approach of the implant placement in the maxilla, including a titled implant
to avoid the sinus. Plaster impression was taken immediately after surgery and
an immediate temporary metal-acrylic denture was fixed to the implants.
Video Length: 10:37 min








The management of the anterior open bite may be quite challenging and in some cases necessitates a multidisciplinary approach. We present here a patient suffering from an anterior open bite with an ankylosed central incisor due to previous trauma. The anterior open bite was corrected using conventional orthodontics and the ankylosed incisor was repositioned in the correct tri dimensional position using segmental osteotomy. The repositioned bone block needed 5 months of stabilization and the prosthetic rehabilitation of the anterior maxilla was completed using e-max crowns. At 24 months ,the result was stable with no relapse and an excellent pink and white esthetic score.

This Webinar outlines the treatment of gummy smiles cases without surgery.
How to develop smile differential diagnosis Detail the protocol used and the importance of an individualized treatment planning Show mechanics applied during gummy smile correction. Demonstrate how to push the orthodontic limits by using mini-implants.



In this webinar Dr. Korbani teaches how to apply the esthetic components the proposed treatment plan via a digital wax up. Apply accepted principles of smile design, tooth arrangement and dental anatomy. Learn to use the diagnostic mock-up to create treatment previews and preparation guides
Video Length 22:44 min



Obstructive Sleep Apnea is a serious medical condition with potentially severe or fatal consequences.
Awareness of this disease has been rising during the last decade in the dental community with the increased role played by dentists within the treating team.
This short introductory lecture aims at describing sleep, its different stages as well as the patophysiology of obstructive sleep apnea and other sleep breathing disorders.
The biggest part of the lecture will emphasize on the dentist role in treating sleep breathing disorders as well as a different dental treatments, their positives and negatives sides effects.




This webinar helps us understand the complexity of the root canal system,adjusting the tools according to specific anatomical situation, dealing with curvatures, supplementary canals, calcified system and large foramina and introduces us to new irrigation tools
Video length : 27:39 min



This webinar objectives are to Understand the importance of maintaining primary teeth, Know the complex anatomy of primary teeth,determine when to extract, learn new technologies and materials in pulpotomies and pulpectomies.
Video Length 17:39 min

In this presentation you will learn the entire digital workflow to plan and place an implant accurately.In this unique lecture you will go through the entire workflow including Intraoral Scanning, CBCT, Implant Planning, Implant Guide Design, 3D Printing, and Guided Implant Placement.



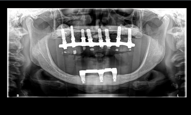
Pterygoid implants are an old therapeutic option for the
treatment of atrophic posterior maxilla that is often overlooked in today’s
treatment options. This lecture addresses the perceived anatomical risk that is
often associated with this procedure and tries to elucidate the controversies
on the subject. It will expose the scientific documentation of the procedure
and will present the modern approach in using the pterygoid implant for the
rehabilitation of totally and partially edentulous patients. The place of
guided surgery in performing this procedure is also discussed.
Length 34.30 min









